Débloquer des cas complexes avec MODJAW
Stratégies de numérisation en pré-opératoire
Ep.1, le DICOM

Introduction
Avec la multiplication des cas dentaires complexes, les cliniciens et les prothésistes dentaires sont confrontés à de nouveaux défis dans leur pratique quotidienne.
Avec l'intégration de nouvelles technologies, la maîtrise de ces cas dans un flux de travail numérique nécessite des approches innovantes. Dans cette série d'épisodes, découvrez comment MODJAW peut révolutionner les flux de travail, simplifiant même les cas les plus complexes.
Step-by-step
Etape 1
Acquisition du scan intra-oral
Etape 2
Acquisition du DICOM
Etape 3
MODJAW - Enregistrement des mouvements
Etape 4
Envoi des données au laboratoire
Etape 5
Conception des provisoires
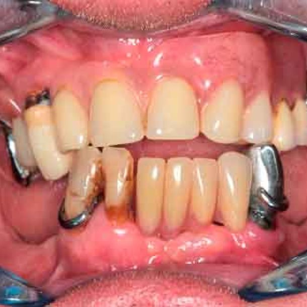
Situation initiale
Situation
Patient de 66 ans. Souhaite retrouver un confort fonctionnel et améliorer l'esthétique.
Plaintes
- Manque de stabilité de ses prothèses amovibles
- Difficultés à manger
- Affaissement de la lèvre supérieure
Plan de traitement
Les structures parodontales des dents restantes ne sont plus suffisantes. Une édentation est envisagée. Le plan de traitement est orienté vers une prothèse complète maxillaire amovible et une prothèse complète mandibulaire supportée par des implants. Le défi est de passer de la situation initiale aux provisoires en utilisant les données du patient.
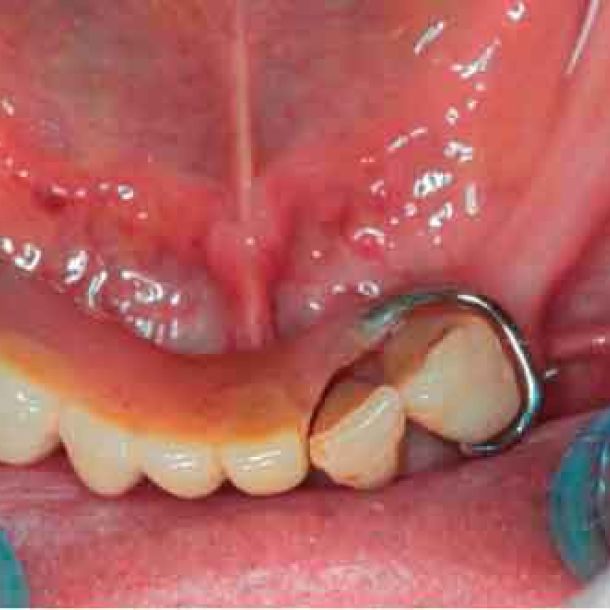
étape 1 – Scan intra-oral
Dans un flux de travail numérique , la première étape implique l'acquisition par scanner intra-oral (IOS). Cependant, dans les cas où les références sont insuffisantes, obtenir une empreinte précise peut être difficile. Découvrez une méthode alternative pour construire votre patient virtuels dynamique

Photo - Situation intra-orale

Modèles 3D - Occlusion obtenue par la caméra intra-orale
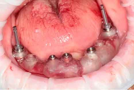
étape 2 – Acquisition du CBCT
Lorsque les scans IOS traditionnels manquent de références nécessaires, les données du CBCT peuvent servir d'alternative viable. En utilisant les fichiers du CBCT, le clinicien peut établir des références anatomiques précises pour la planification du traitement.
Pour pouvoir utiliser les données CBCT comme modèles initiaux, nous devons transformer le fichier DICOM en un fichier STL. Découvrez-en plus sur la segmentation CBCT et son utilisation dans TWIM ci-dessous.

Avant d'acquérir le CBCT, j'ai ajouté 2 morceaux de composite à la mandibule pour pouvoir effectuer le processus de picking pendant le protocole MODJAW. Il s'agit d'une astuce utile à retenir en cas d'absence de dents.
étape 3 – MODJAW – Enregistrement dynamique
En important les fichiers DICOM du patient au lieu des scans IOS, les cliniciens peuvent enregistrer le mouvement de la mâchoire, facilitant ainsi la planification précise du traitement.

Etape 1
Importez les modèles CBCT segmentés en tant que modèles initiaux dans TWIM

Etape 2
Sélectionnez 4 points virtuels sur la mandibule du modèle osseux importé

Etape 3
Fixez la fourchet paraocclusale à la mandibule du patient

Etape 4
Sélectionnez les points précédents dans la bouche du patient à l'aide du Tally (stylet)
Une fois que les mouvements de la mâchoire du patient sont enregistrés, le logiciel TWIM est une aide supplémentaire pour le diagnostic et la planification du traitement.
étape 4 - EXPORT DES DONNées vers le laboratoire
Lors du premier rendez-vous, la collecte de données complète est essentielle. Des photos aux fichiers DICOM segmentés et aux données de mouvement de la mâchoire, toutes les informations sont intégrées dans le logiciel TWIM, simplifiant la communication avec le laboratoire dentaire.
- Photos
- Scans IOS (incorrects mais toujours utiles pour le technicien dentaire)
- Fichiers DICOM, segmentés en fichiers STL
- Données de mouvement de la mâchoire : données individuelles du patient pour paramétrer l'articulateur virtuel
- Facescan (optionnel)
L'ensemble des données est envoyé au laboratoire pour concevoir les provisoires.
Bénéfices
• Flux de travail numérique : Passez de la situation initiale aux provisoires en utilisant les données du patient, dans un flux de travail numérique.
• Flux de travail simplifié : En éliminant le besoin d'empreintes physiques et cires d'occlusion, ce flux de travail réduit le temps et les ressources nécessaires
• Expérience patient améliorée : Les patients bénéficient d'une esthétique améliorée et d'un confort fonctionnel accru tout au long de leur parcours de traitement.











