avatar vert
Patients fonctionnels
L'objectif est de copier-coller la fonction pour optimiser le plan de traitement.
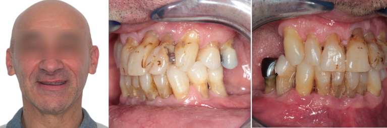
Situation Initiale

Motif de visite :
Le patient souhaite retrouver un sourire harmonieux et agréable, ainsi qu'une fonction masticatoire
- Mouvements enregistrés :
- Ouverture et fermeture
- Protrusion
- Laterotrusion gauche et droite
- Phonation
- Mastication
- Relation centrée (RC)
Analyse cinématique
Position acceptable de la mandibule
RC= OIM
RC= OIM
Guidage acceptable lors des mouvements limites.
Bon schéma masticatoire, bien guidé
par les dents résiduelles
DESIGN EN MOUVEMENT
Données statiques et dynamiques du patient
au laboratoire
- DV préservée : position mandibulaire maintenue
- Plan occlusal : respect des courbes fonctionnelles de Spee et Wilson
- Protrusion et laterotrusion : Pour ajuster le guidage
- Mastication : ajuster les cuspides de la reconstruction postérieure
Etes-vous prêts à franchir une nouvelle étape dans vos soins dentaires avec TWIMFIT ? Contactez notre équipe aujourd'hui.