Occlucurve™, the 4D occlusal curve

"When I want to show my dental technician that my patient has a tilted occlusal plane, I generate my patient's occlusal curve in TWIM. Once the curve has been generated and corrected, I can transfer it to the laboratory as an STL file. This curve will guide the patient's occlusal equilibration, which my dental technician now performs digitally.“
Clinical situation - Smile imbalance
How do you identify and treat a smile imbalance in a digital workflow?
In the digital age, all the patient's information can be summed up in the construction of a virtual patient using 2D, 3D and now 4D data. The construction of a dynamic virtual patient enables both the practitioner and the dental technician to treat the patient with objective data.
In addition to all current patient data, discover "Occlucurve", a feature offered by TWIM™ software that generates the patient's occlusal curve to facilitate decision-making on the clinical side and guide work on the laboratory side.
What is the occlusal curve?
The occlusal curve is the combination of 2 references, the Spee curve and the Wilson curve.
In the literature, these 2 references enable the positioning of teeth while respecting the inclination of the occlusal plane in relation to the axio-orbital plane in the anteroposterior direction, as well as obtaining both the homogeneous approximation of the occlusal tables and the absence of posterior interference by defining the inclinations in the frontal plane of the edges of pluri-cuspid teeth.
The occlusal curve combined with the positioning of the condyles enables the display of the Monson Sphere.
TWIM™ software generates this individualized data in a few clicks.

Individualized Monson sphere
The value of the occlusal curve within the virtual patient
Once 3D and 4D data acquisition has been completed, the practitioner can work on the dynamic virtual patient and prepare the data to be sent to the dental technician. It is at this treatment planning stage that the practitioner makes clinical decisions and communicates with the laboratory to ensure a predictable and reproducible treatment.
- The occlusal curve has 2 major benefits:
- For the dentist, it highlights the patient's occlusal plane and becomes objective data that can be transferred
- For the dental technician, it serves as a guide, provided by the patient

Individualized occlusal curve
Whether for occlusal balancing or for partial and global rehabilitations, the occlusal curve generated in TWIM™ is an ally both in the clinic and in the laboratory, to be used without moderation. Let's discover its use through the following clinical case study.
Identifying and treating
Initial situation

Patient photo at first consultation

Median axis offset and occlusal plane tilted to the right.

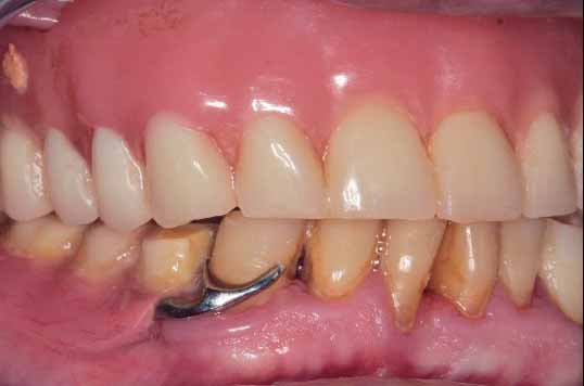
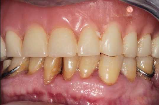
ICP view

ICP view
Generating the occlusal curve
There are 2 steps in the use of the feature :
- Generating the occlusal curve: in just a few clicks, TWIM™ software generates the patient's occlusal plane. Depending on the clinical situation, the curve will be more or less inclined.

- Repositioning the occlusal curve: you can play with the cursors to generate a curve which will then serve as a guide for the dental technician during digital design.

Design integration
The dental technician receives all the data acquired by the practitioner. The occlusal curve is an STL file with the coordinates and position displayed when the TWIM™ consultation is exported.

Corrected occlusal curve, showing the future confrontation zone of the dental arches

Occlusal curve imported in STL format into design software
"The occlusal curve is a new set of information we rely on to get to the point and have more time to focus on the aesthetic aspect. It's something we've been looking forward to for a long time and that reduces the random part of our work."
Final situation
The correction of the occlusal plane has had an impact on the balance of the smile. The patient now has a harmonious smile and a balanced occlusion.

Post treatment picture, frontal view

Post treatment picture, side view