Unlock complex cases with MODJAW
Scan strategy in pre-op situations
– Ep.1, the DICOM

Introduction
As the number of complex dental cases continues to rise, clinicians and dental technicians are encountering new challenges in their daily practice. With the integration of new technologies, mastering these cases within a digital workflow requires innovative approaches. In this series of episodes, explore how MODJAW can revolutionize workflows, simplifying even the most intricate cases
Step-by-step
Step 1
IOS acquisition
Step 2
DICOM acquisition
Step 3
MODJAW - Jaw motion
Step 4
Export to the lab
Step 5
Design of the provisionals
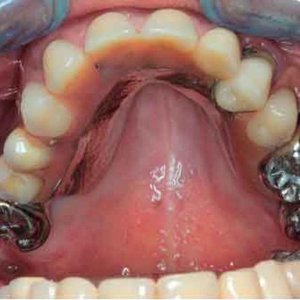
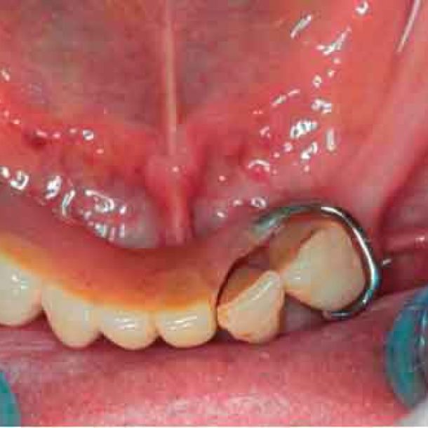
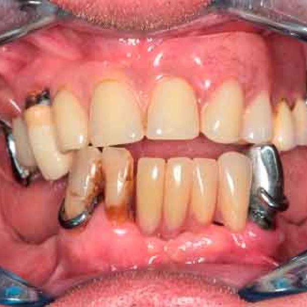
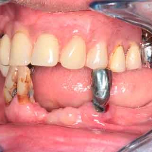
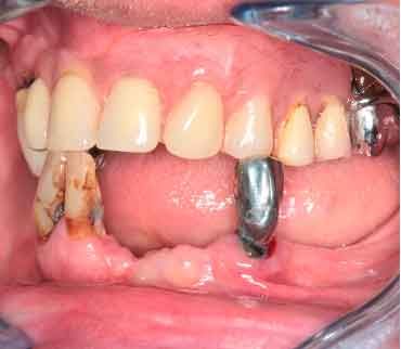
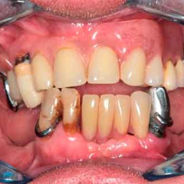
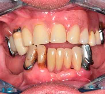
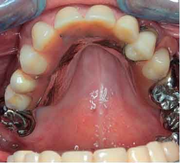
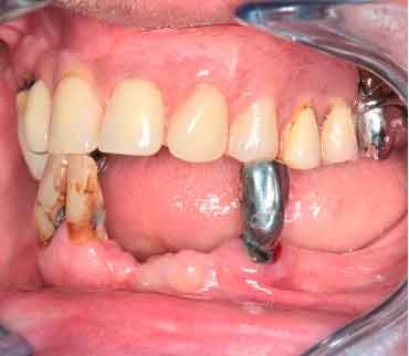
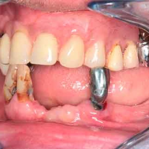
Initial situation
Situation
66 years old patient. Wishes to regain functional comfort and improve aesthetics.
Complaints :
- Lack of stability of his removable prosthetics
- Difficulties in eating
- Sagging of the upper lip
Treatment plan
The periodontal structures of the remaining teeth are no longer sufficient. An edentulism is considered. The treatment plan is directed towards a removable maxillary complete prosthesis and an implant-supported mandibular complete prosthesis.
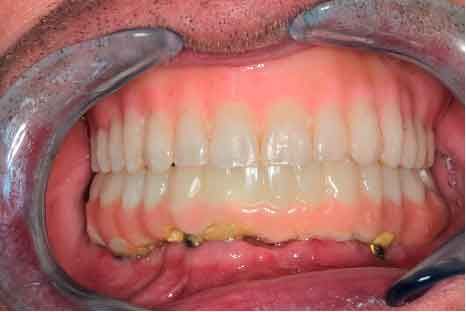
The challenge is to go from the initial situation to provisionals using patient data.
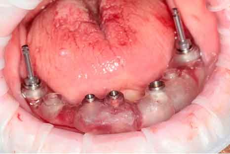
Step 1 – IOS scan
In a typical digital workflow, the first step involves intraoral scanner (IOS) acquisition. However, in cases with insufficient references, obtaining an accurate bite can be challenging. Discover alternative methods to construct dynamic virtual patients, bridging the gap from initial situations to provisional solutions.

Picture - Initial bite situation

3D models - Bite scan from intra-oral scanner
Step 2 – CBCT acquisition
When traditional IOS scans lack necessary references, Cone Beam Computed Tomography (CBCT) data serves as a possible alternative. By utilizing CBCT scans, clinicians can establish accurate reference positions for treatment planning.
To be able to use CBCT data as initial models, we need to transform the DICOM file into an STL file.
Discover more about the CBCT segmentation and the integration in TWIM software

Before acquiring the CBCT, I added 2 pieces of composite to the mandible to be able to do the picking process during jaw motion recording. This is a useful trick to remember in a situation of lacking teeth.
Step 3 – MODJAW – Jaw motion registration
By importing patient DICOM files instead of the IOS scans, clinicians can register jaw motion, facilitating precise treatment planning.

Step 1
Import the segmented and converted CBCT models as initial models in TWIM

Step 2
Select 4 virtual points on the mandible of the imported bone mesh

Step 3
Fix the fork (paraocclusal clutch) to the mandible of the patient

Step 4
Pick the previously points in the patient's mouth using the Tally (stylus)
Once the patient’s jaw motion is recorded, the TWIM software is an additional aid for the diagnosis and the treatment planification.
Step 4 - DATA EXPORT TO THE DENTAL LABORATORY
During the initial appointment, comprehensive data collection is essential. From pictures to segmented DICOM files and jaw motion data, all information is integrated into the TWIM software, streamlining communication with the dental laboratory.
- Pictures
- IOS scans (incorrect but still useful for the dental technician)
- DICOM files, segmented into STL files
- Jaw motion data : individual patient data to parameter the virtual articulator
- Facescan (optional)
The dataset is sent to the lab to design the provisionals.
Benefits
- Digital Workflow : Go from initial situation to provisionals using patient data, in a digital workflow
- Simplified Workflow : By eliminating the need for physical impressions and wax rims, this digital workflow reduces time and resources
- Improved Patient Experience: Patients experience enhanced aesthetics and functional comfort throughout their treatment journey











